Skip to main content
Overview
Creator: Pietryka, Megan
Subject:
Description:
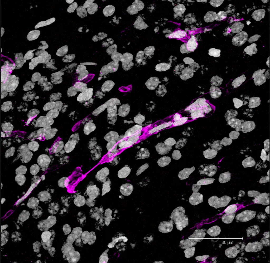
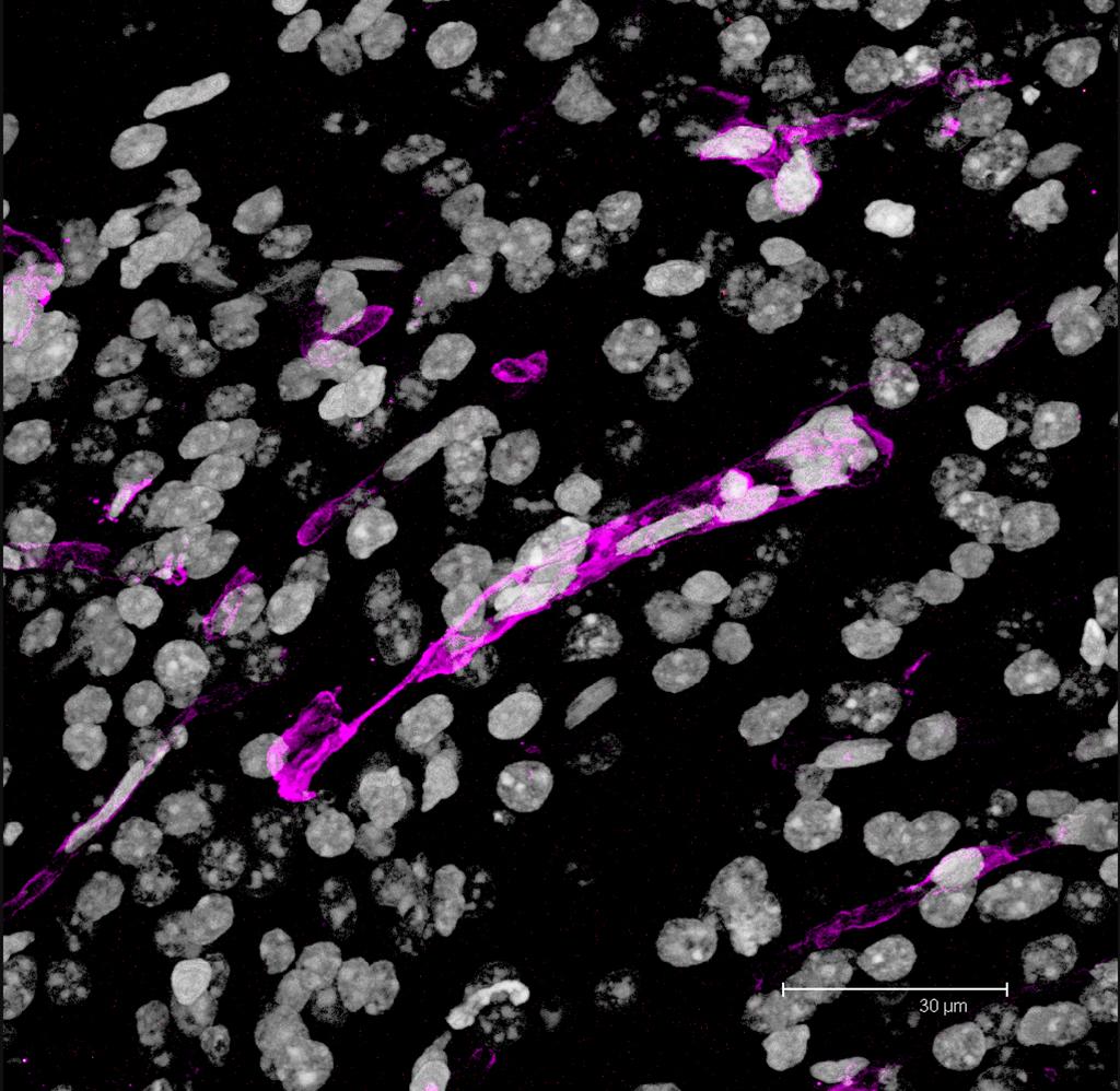
Brain Section

Max Image
Series Scan
Depth of section: 7.69μm

Nuclei in grey
Vasculature in magenta
Date Original:
2014, November 3
Language:
eng
Rights
Rights Management:
Original materials may be protected by the Copyright Law of the United States (more information).
Technical
Digitization Specifications:
Saved as JPEG (level 12) in Photoshop CS6
Date Digital:
Format:
image/jpeg
Type:
Image