Skip to main content
Overview
Creator: Weis, Connor
Subject:
Description:
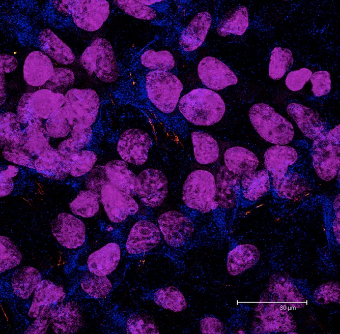
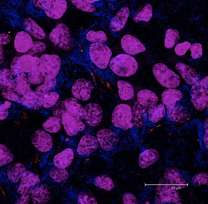
Transparent projection
Of a series scan of B16 cells. Nuclei
shown in magenta, f actin filaments shown in glow, intermediate filaments shown in blue.

7.41 µm section
Date Original:
2013, April 18
Language:
eng
Rights
Rights Management:
Original materials may be protected by the Copyright Law of the United States (more information).
Technical
Digitization Specifications:
Saved as JPEG (level 12) in Photoshop CS6
Date Digital:
Format:
image/jpeg
Type:
Image